

什么是PET-CT?
PET/CT是目前世界上最先进的分子成像设备之一,它是PET(功能分子影像)+CT(解剖影像)的完美融合。经PET/CT一次扫描显像,即可了解全身整体状况,达到早期发现病灶和诊断疾病的效果。
PET/CT基本原理
PET/CT是一种核素示踪影像技术,其原理是将人体代谢所需要的物质,如葡萄糖、氨基酸、胆碱、胸腺嘧啶等标记在短半衰期的放射性核素上(如18F、11c)制成显像剂(如氟代脱氧葡萄糖,简称FDG),注入人体后进行扫描成像。癌细胞具有很强的分裂能力,新陈代谢异常旺盛。相较于正常细胞,它们对葡萄糖的消耗量更大。正是因为这种旺盛的代谢需求,使得葡萄糖会在代谢格外活跃的肿瘤细胞组织中大量聚集 。经PET/CT扫描显像,其“火眼金睛”能让肿瘤无处可逃。
PET/CT检查对肿瘤治疗前后的疗效评价有独特优势:
一、精准定位病灶所在的位置、准确分期,帮助制定手术计划和放疗计划。
二、不论是手术切除还是放化疗,PET/CT检查可以确定肿瘤是否有变化、尤其是肿瘤细胞的活性是否降低、手术残端是否有肿瘤细胞存活。
三、对于鉴别肿瘤复发还是坏死灶、或纤维化瘢痕组织,相比于其它检查敏感性更高。
四、通过肿瘤不同治疗周期的药物响应进行评估,为临床治疗提供决策,还可以通过PET/CT反映的代谢情况帮助对放疗病人进行细致的靶区勾画。
五、除了原发灶的监测,还可以通过一次性检查发现全身其余部位是否有新发转移灶等。这些优势是一些常规检查(如CT、MRI或超声等)所不具备的。
PET/CT 检查:全方位呈现治疗前后的差异
借助先进的 PET/CT 检查技术,不仅能够凭借其高分辨率和精准成像功能,对肿瘤患者的治疗效果进行全方位、高精度的观测与评估,还可以通过对身体各部位的细致扫描,清晰地判断是否存在肿瘤转移迹象以及复发情况。
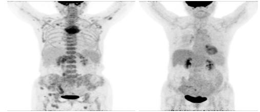
淋巴瘤治疗后2021-2-25 2021-7-24
肺癌治疗后2021-9-27 2022-6-20
肺癌治疗后对比2022-3-18 2022-8-9

胃癌术后复发

食管癌放疗后残留

胰腺癌术后复发

宫颈癌术后复发

乙状结肠癌术后复发
对于治疗后(或期间)的肿瘤患者,定期复查十分重要,正因为如此,PET/CT凭借上述优势脱颖而出,为临床治疗和评估疗效带来重要帮助。
